関節リウマチ、股関節・足関節外科班
特色
関節リウマチのトータルマネージメントと股関節および足関節を主体とした関節外科を中心に診療を行っています。
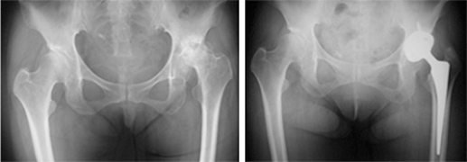
関節リウマチ:関節リウマチ(RA)患者の予後を向上させるために、早期診断は極めて大切です。現在当チームではRA診療に関節エコー(図1)を積極的に導入し早期診断・早期治療を実践しています。RA治療の4本柱は薬物療法、手術療法、リハビリテーション、生活指導であります。発症早期から適切な薬物療法を行うことにより、滑膜炎と骨破壊の進行を抑制するよう取り組んでいます。一方滑膜炎が沈静化しない場合や関節破壊が進行してしまった場合にはタイミングよく外科的治療を行う必要があります。当チームで行う手術としては人工股関節置換術(図2)、人工膝関節置換術、膝滑膜切除術、人工足関節置換術(図3)、足関節固定術、前足部矯正骨切り術、前足部切除関節形成術、人工肩関節置換術、人工肘関節置換術(図4)、肘滑膜切除術、手関節形成術、手関節固定術などがあります。また生活指導とリハビリテーションはRA患者のQOL維持のために極めて重要であり、全経過を通じて行う必要があります。RA指導医および専門医が診断から治療まで総合的な知識と技術をいかしてトータルマネージメントを実践しています。
図1
図2
図3
図4
股関節・足関節外科:股関節外科は人工関節偏重の時代に入ってきましたが、若年者に対し安易に人工関節置換術を行うことは避けなければなりません。当チームでは若年者の変形性股関節症や骨頭壊死症に対し関節温存を目標とした臼蓋回転骨切り術(図5)や骨頭回転骨切り術(図6)を積極的に行っています。一方高齢者の進行期・末期股関節症に対しては人工股関節置換術を行いますが、少ない人工股関節置換術を目指し軟部組織に対しても十分配慮し手術を行っています。また巨大骨欠損を伴った人工股関節術後のゆるみに対しては、同種骨移植を用いた人工股関節再置換術(図7)を実施し、良好な成績を得ています。足関節および前足部の障害に対しては、装具療法に抵抗性の障害に対し手術療法を行っています。手術方法としては変形性足関節症に対する人工足関節置換術および足関節固定術、外反母趾に対する矯正骨切り術(図8)が代表的な手術です。
図5
図6
図7
図8
研究テーマ
現在取り組んでいる研究としては、RAの分野では「生物学的製剤の大関節破壊抑制効果」、「免疫抑制薬を用いた骨破壊抑制」、「生物学的製剤使用時の手術療法」、「関節エコー所見の病理学的解析」などです。また股関節・足関節の手術分野では「股関節短回旋筋の関節安定性に及ぼす影響」、「各種手術療法の中・長期の臨床成績と問題点」、「各種手術術後のADLおよびQOLの改善」などがあげられます。臨床研究を積極的に行い、RAや関節疾患の患者様に、より有効な治療を提供していけるよう取り組んでいます。
